100人にひとりが
ALBA歯科の患者です

東京・神奈川近郊から多数ご来院
ALBA歯科グループは東京・神奈川・海外(ホーチミン)に23医院展開しています。
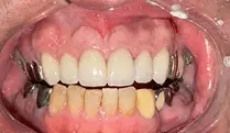
年間1,000症例以上の「世界レベル」オペを実施しているインプラント治療では最安で税込99,800円~の低価格を実現。目立たずメンテナンスも容易と好評の透明なマウスピース矯正は月3,300円からご提供が可能です。
年中無休で土・日・祝日も診療中。朝10時台から夜20時まで受診可能。一人一人治療プランは異なりますが、私たちが必ず最適な答えをご提供いたします。まずは、お気軽にご相談ください。
※保険対象外の自由診療となります。金額に関してなどご不明点等ありましたらお気軽にお問い合わせください。
当院が選ばれる理由
-
圧倒的な実績
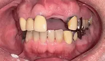
世界水準のインプラント専門ドクターが在籍しており、累計埋入本数は15,000本以上、2024年は3,300本以上の埋入実績がございます。
また、マウスピース型カスタムメイド矯正装置世界トップシェアのインビザライン・ジャパン㈱製マウスピース型歯科矯正装置の症例数は全国トップクラスの実績があります。
他院でお断りされてしまったような難しい症例も、是非当院まで一度ご相談ください。
-
業界最安値で提供
インプラントにおいて高額なフィクスチャーを法人全体で大量購入することにより定価の半額以下で購入することが出来ます。
よって、当院でのインプラントの価格は他院と比べ圧倒的な低価格でご提供する事が可能となります。インプラントの価格はCT診断料や手術費、上部構造等、歯が入るまでの全ての費用となります。
-
歯科恐怖症の方でも安心
①痛みを最小限に抑える「2STEP麻酔法」
麻酔シールと電動麻酔の2STEP法を採用することで、麻酔注射時の痛みを大幅に軽減できます。 「ほぼ痛みを感じなかった」「注射をされたことに気づかなかった」といった嬉しい声が寄せられており、この方法は高い評価を受けています。
②眠りながら治療が完了する
「睡眠無痛治療」
歯科恐怖症の方や、治療中の音や痛みが心配な方には「睡眠無痛治療」をご提案しています。これは「静脈内鎮静法」とも呼ばれ、まるで眠っているような感覚で治療を受けられます。
-
「短期治療」を実現
①集中ワンストップ治療で「短期治療」を実現
米国で知識・技術を磨いてきた熊木理事長のもと、優秀なドクター、スタッフが揃っているため、短時間で高精度な治療を行うことができます。
②精密機器の活用
マイクロスコープや歯科用CTなど、治療精度向上のため、先端機器を活用しています。